- Новости
- Ученые: переболевшие бессимптомно коронавирусом имеют поражения легких
Ученые: переболевшие бессимптомно коронавирусом имеют поражения легких
Новости Русской Испании 8 апреля 2020
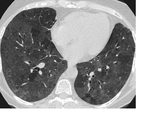
У переболевших COVID-19 без симптомов обнаружены поражения легких, сообщили японские ученые, изучавшие результаты компьютерной томографии заразившихся коронавирусом пассажиров лайнера Diamond Princess.
Результаты исследования опубликовал портал Радиологического общества Северной Америки.
Из 104 человек, подхвативших инфекцию на корабле, у 76 болезнь протекала без симптомов. Однако у большинства «бессимптомных» пациентов (41 человек) в легких нашли изменения — «эффект матового стекла».
У тех же заболевших, кто имел симптомы, наблюдался кашель, температура и общая слабость.
Исходя из этих данных, японские ученые пришли к выводу, что и при бессимптомном течении болезни легким наносится вред, сообщает ТАСС.
Для справки:
Симптом «матового стекла» — неспецифический радиологический симптом, отражающий различные патологические изменения в легочной ткани на уровне альвеол. Визуализируется при компьютерной томографии как туманное, матовое снижение прозрачности легочной ткани с дифференцируемым рисунком сосудов и бронхов на этом фоне.
Пневмонии и пневмониты любой этиологии (бактериальной, вирусной, грибковой и т. д.) являются одной из наиболее распространенных причин фокального или диффузного симптома «матового стекла», который может отражать либо неполное заполнение просвета альвеол содержимым (при начальных или остаточных воспалительных проявлениях), либо инфильтрацию альвеолярных стенок (внутридолькового интерстиция).
08.04.2020
russianspain.com